High Arch/Supination

Supination is what happens when your ankle does not roll inward enough during walking or running which causes most of the weight to be carried on the outside of the foot. This causes your foot to incorrectly displace the weight of your foot and effectively causes a continual "roll" of your ankle increasing the risk of an Ankle Sprain or torn tendons. High Arches and Cavus are other common terms for Supination. WHAT CAUSES HIGH ARCHES / SUPINATION? Heredity Misalignment of the foot bones HOW DO I KNOW IF I HAVE HIGH ARCHES / SUPINATION? WHAT ARE THE SYMPTOMS OF HIGH ARCHES / SUPINATION? Foot, hip,...

Ankle Arthritis

Ankle Arthritis is a term used to describe joint and tissue inflammation or degradation of cartilage in the ankle. Ankle Arthritis is often accompanied by pain, swelling, stiffness, and loss of motion in the ankle joint. WHAT CAUSES ANKLE ARTHRITIS? There are several factors that can contribute to ankle arthritis. Factors may include: Worn down or worn out cartilage. Without cartilage to help cushion the joints the bones can begin to rub together - bone on bone - wearing them down and causing pain. Past injury or trauma to the ankle joint or cartilage: ankle fracture or broken ankle. Lack of joint use. Lack of...

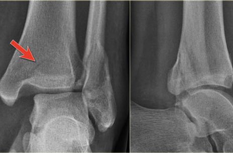
Ankle Fracture

An Ankle Fracture happens when the ankle bones crack or break after receiving a direct impact or being bent too far. The severity of Ankle Fractures fluxuate depending on several factors including: how many bones are broken and if any ligaments are involved. WHAT CAUSES AN ANKLE FRACTURE? Ankle Fractures happen when the bones are severely jarred, or twisted beyond their capability. The stress from this motion causes the ankle to fracture or break. Ankle fractures can be caused by tripping, slipping on an icy surface, missing a step over uneven ground, suddenly twisting your ankle, or blunt force trauma impacting against...

Ankle Impingement

Ankle Impingement is what happens when a bone spur or cartilage defect is present in the ankle joint. The bone spur usually ends up pinching the soft tissues in the ankle which causes pain and limited movement in the ankle joint. If the growth is on the front of the ankle bone it is referred to as Anterior Impingement and if the growth is on the back of the ankle bone it is called Posterior Impingement. WHAT CAUSES ANKLE IMPINGEMENT? An Ankle Impingement is caused when a bone spur or other boney or soft tissue growth develops in the ankle joint. This...

Achilles Tear

The Achilles tendon connects your heel bone to your calf muscles and allows you to point your toes downward, jump, and run. An Achilles Tear (also known as an Achilles Rupture) occurs when you injure your Achilles Tendon in such a way that the tendon splits or snaps. This results in extreme pain and immobility. It is a common injury in both athletes and non-athletes. WHAT CAUSES AN ACHILLES TEAR? Over or excessive use Direct traumatic blow Sudden burst of movement and use without warming up or stretching Footwear that causes imbalance HOW DO I KNOW IF I HAVE AN ACHILLES TEAR? WHAT ARE THE SYMPTOMS OF...