Ankle Fracture
An Ankle Fracture happens when the ankle bones crack or break after receiving a direct impact or being bent too far. The severity of Ankle Fractures fluxuate depending on several factors including: how many bones are broken and if any ligaments are involved.
WHAT CAUSES AN ANKLE FRACTURE?
Ankle Fractures happen when the bones are severely jarred, or twisted beyond their capability. The stress from this motion causes the ankle to fracture or break. Ankle fractures can be caused by tripping, slipping on an icy surface, missing a step over uneven ground, suddenly twisting your ankle, or blunt force trauma impacting against the ankle.
HOW DO I KNOW IF I HAVE AN ANKLE FRACTURE?
WHAT ARE THE SYMPTOMS OF AN ANKLE FRACTURE?
Symptoms of an ankle fracture can include:
- Inability to put any weight on your ankle
- Pain and tenderness to the touch
- Bruising and swelling around the ankle bone
- Ankle bones jutting out of place under the skin
- Limited range of motion
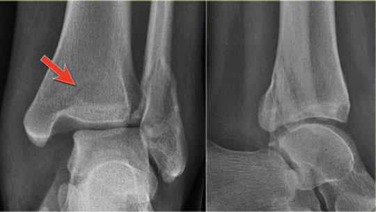
HOW IS AN ANKLE FRACTURE DIAGNOSED?
Ankle fractures generally require an
- X-ray
- MRI – If the doctor perceives tendon or ligament damage.
Your physician will use those x-rays or a MRI to check and see which bones are broken and which ligaments are damaged to decide on your treatment.
WHAT CAN I DO FROM HOME FOR AN ANKLE FRACTURE?
WHAT CAN I DO TO PREVENT AN ANKLE FRACTURE
To decrease your chances of getting an Ankle Fracture:
- Be aware of your surroundings and terrain
- Avoid activities that cause unnecessary stress to your joints
- Wear shoes with good ankle support
- Warm up properly before taking part in any physical activity
WHAT TREATMENTS CAN I DO FROM HOME FOR AN ANKLE FRACTURE?
There are several things you can do from home when dealing with a fractured ankle:
- Rest – Get off your injured foot as soon as possible. Relieving weight and pressure will help your foot heal faster and avoid further injury.
- Ice – Wrap your injured foot with ice as soon as possible. Ice helps prevent swelling and promotes faster healing time. Wrap the ice in a towel to avoid putting ice directly on the skin.
- Elevate – Make sure you keep your foot elevated as this will also help to minimize swelling. It’s best if you can elevate your foot to the level of your heart.
- Anti-inflammatory and pain reducing medications
- Ample recovery time. Make sure your ankle is completely healed before you begin physical activities again
- Crutches or a device to aid you in walking
WHEN SHOULD I SEE A DOCTOR FOR AN ANKLE FRACTURE?
Ankle Fractures can sometimes be mistaken for an Ankle Sprain. You may still be able to move your ankle even if you’ve fractured it. See your doctor if:
- You can’t put any weight on your foot
- There’s bruising around the ankle
- You can see exposed bones
- Your joint looks distorted
- Your ankle or foot is numb
- You can’t move your toes or ankle
TREATMENTS YOUR DOCTOR MAY RECOMMEND
The treatments for an Ankle Fracture depend on the severity of the break. For mild cases there are non-surgical options such as:
Non-Surgical:
- Ankle brace or cast: This helps to keep your ankle stable for the four to six weeks needed to heal.
- Crutches or walking aids: Avoid putting any weight on your ankle while it heals. Unnecessary pressure can cause more damage and lengthen your healing time
- Rest: Keep off your ankle.
- Physical Therapy after healing: This helps to strengthen your muscles again and prevent future Ankle Fractures Some serious cases of Ankle Fractures may require surgery.
Surgical:
- If your ankle has floating bone pieces or was severely injured (crushed, etc) then your doctor will most likely recommend surgery. ?Plates and screws are inserted into the ankle to give it the stability necessary to heal properly.
