Nail Dystrophy

Nail Dystrophy is the presence of mis-shapen or partially destroyed nail plates. Soft yellow keratin often accumulates between the nail plate and nail bed, resulting in elevation of the nail plate. WHAT CAUSES NAIL DYSTROPHY? Nail Dystrophy can be caused by certain sicknesses, medications, inadequate nutrition, and by trauma to the tips of the fingers and nails. Onychomycosis is a fungal nail infection that can also cause dystrophy. HOW DO I KNOW IF I HAVE NAIL DYSTROPHY? WHAT ARE THE SYMPTOMS OF NAIL DYSTROPHY? Nail brittleness, splitting and fraying Discoloration of entire nail bed or unusual color changes and markings Ridges or pitting across the nails Unusual thickness of...

Toenail Fungus

Toenail fungus is an infection of the toenail and/or the nail bed that causes a yellow discoloration of the nail. WHAT CAUSES TOENAIL FUNGUS? Toenail Fungus is caused by a fungus infestation. This type of fungus thrives in the toenail and foot area because of the warm and moist environment. Toe fungus does not need light to live. HOW DO I KNOW IF I HAVE TOENAIL FUNGUS? WHAT ARE THE SYMPTOMS OF TOENAIL FUNGUS? Discoloration of the nail Thickening of the nail Crumbling of the nail edges Dark white or yellow spots appearing on the nail Odor coming from the nail Inflamed skin surrounding the toenail HOW IS TOENAIL FUNGUS DIAGNOSED? Your...

Midfoot Arthritis

Midfoot Arthritis is a condition characterized by pain and stiffness in the middle of the foot. WHAT CAUSES MIDFOOT ARTHRITIS? Previous injury to the foot Loss of cartilage in the foot joint High arches Flatfeet HOW DO I KNOW IF I HAVE MIDFOOT ARTHRITIS? WHAT ARE THE SYMPTOMS OF MIDFOOT ARTHRITIS? Sharp pain in the top and middle of the foot Swelling of the foot Tenderness Arch collapse Bone Spurs HOW IS MIDFOOT ARTHRITIS DIAGNOSED? Physical examination by a doctor X-rays WHAT CAN I DO FROM HOME FOR MIDFOOT ARTHRITIS? WHAT CAN I DO TO PREVENT MIDFOOT ARTHRITIS? Wear supportive shoes Weight control WHAT TREATMENTS CAN I DO FROM HOME FOR MIDFOOT ARTHRITIS? Wear supportive shoes Orthotics Weight control Walk with a cane or...

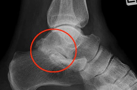
Subtalar Arthritis

Subtalar Arthritis is generally categorized as pain in the hindfoot. The subtalar joint is the joint that lets you rotate your foot back and forth and bend it back and forth. Patients who suffer from Subtalar Arthritis will feel pain when walking or moving the ankle. WHAT CAUSES SUBTALAR ARTHRITIS? Subtalar Arthritis is usually caused by a fracture in the foot, usually the heel bone. It can also be caused by excessive wear and tear on the joints resulting from too much activity. HOW DO I KNOW IF I HAVE SUBTALAR ARTHRITIS? WHAT ARE THE SYMPTOMS OF SUBTALAR ARTHRITIS? The most common symptom of Subtalar...

Flat Foot/Fallen Arch

Flatfoot, or more commonly known as Flat Feet, is the most common condition associated with bottom arch pain. Pronation is the natural movement of your foot while walking. The movement includes your ankle, heel, and arch and distributes the weight evenly throughout your foot. Your ankle naturally rolls inward momentarily to account for the shift of weight during movement. Overpronation is what happens when the ankle rolls too far inward on a regular basis and forces the inside of your foot to handle the weight. Over time this causes your arch to flatten, your tendons to loosen, your joints to become instable,...