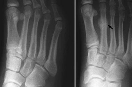
Stress Fracture

A Stress Fracture is an injury to the foot bones that happens over time due to overuse instead of a sudden, sharp blow. It is also sometimes known as a hairline fracture and happens most often in the Metatarsal bones. WHAT CAUSES A STRESS FRACTURE? A stress fracture occurs when the foot muscles because exhausted by repeated activity and motion and can no longer absorb the shock and pressure. The bones then take on the repeated pressure and stress which causes hairline fractures to occur over time. HOW DO I KNOW IF I HAVE A STRESS FRACTURE? WHAT ARE THE SYMPTOMS OF A STRESS...

Why Do My Feet Hurt?

Anyone on their feet for extended periods of time begins to feel that familiar ache.  However, some people's feet are simply more vulnerable than others to pain.  Why is this?   One reason is that the foot is such a complex system - having over 100 bones and ligaments. Wow.  There is a lot of coordination going on.  And just as we don't all have perfectly symmetrical faces (just ask the author), we also don't all don't have perfectly balanced feet.   As a result, some small bones and ligaments carry more than their fair share of the everyday tensions and pressures that keep...

Understanding Life After a Stroke: How to Navigate the Road to Recovery

Life after stroke involves many new changes and sometimes challenges. Fortunately, there is hope for recovery through rehabilitation and determination. Survivors may need to make adjustments to their day-to-day life depending on the effects of their stroke, which can be physical, cognitive, and even emotional. Therefore, it is helpful for survivors to lean on loved ones for support and/or find stroke support groups. Healing after a stroke may take time, but it helps to know you are not alone. To understand the recovery process, this article will discuss the effects of a stroke and how the brain heals. Then we can dive into some...

Parietal Lobe Damage: Understanding Symptoms and Treatments

Parietal lobe damage can severely impair a person’s ability to process sensory input. For example, individuals with parietal lobe damage may not recognize sensations such as hot/cold, smooth/rough, etc. Injury to this area of the brain can also create vision deficits and difficulty with spatial awareness. Thankfully, there is hope for improvement through a comprehensive rehabilitation program. In this article we will discuss the major symptoms of parietal lobe damage as well as the treatment process. Understanding Parietal Lobe Damage The parietal lobe rests near the top, middle section of the cerebral cortex, just behind the frontal lobe and above the temporal lobes. Because the brain is divided...

Best Stroke Rehab Equipment for Safely Recovering at Home

Using stroke rehab equipment at home often motivates survivors to exercise on a regular basis. Exercising daily helps keep the brain stimulated and encourages neuroplasticity, the mechanism the brain uses to rewire itself, which is key during stroke recovery. Written exercises alone can help, but adding useful stroke rehab equipment expands the type of exercises you can do. To help you find the right gear, this post provides a roundup of the best stroke rehab equipment available for you to use at home. We update this post every year to keep it fresh and relevant. All Amazon links are non-affiliate, which means we do...