Sever’s Disease

Sever's Disease is used to describe pain in the back of the heel that comes from an inflamed growth plate in your child's heel. Sever's Disease commonly occurs in children from the ages 8-15. The muscles and tendons become tight as the bones shift and grow. This causes pain when walking or participating in athletic events that require running and jumping. WHAT CAUSES SEVER'S DISEASE? Sever's Disease is thought to be caused by several reasons: Growth spurts. The muscles and tendons become tight due to rapid bone growth. Overuse. Sever's Disease can also occur in children who are athletically active and overwork his or...

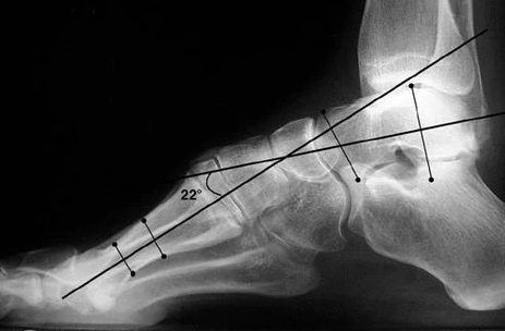
Subtle Cavovarus

Subtle Cavovarus: A Common and Underserved Foot Deformity For over thirty years, the orthotic and footbed industry has focused on the correction of flatfoot / pronation deformities. This has led to an extensive industry of arch support products sharing many of the same features and elements in common In the meantime, there is a notable lack in both the understanding and pre-surgical treatment of the high arch or cavovarus foot alignment and especially the subtle cavovarus foot and its symptoms.' Like flatfoot, high arches are a common deformity leading to significant, under-treated symptoms. The cavovarus foot typically overloads or puts too much pressure...

Supination

Supination is what happens when your ankle doesn't roll inward enough during walking or running which causes most of the weight to be carried on the outside of the foot. This causes your foot to incorrectly displace the weight of your foot and effectively causes a continual "roll" of your ankle increasing the risk of an Ankle Sprain or torn tendons. High Arches and Cavus are other common terms for Supination. WHAT CAUSES HIGH ARCHES / SUPINATION? Heredity Misalignment of the foot bones HOW DO I KNOW IF I HAVE HIGH ARCHES / SUPINATION? WHAT ARE THE SYMPTOMS OF HIGH ARCHES / SUPINATION? Foot, hip, ankle...

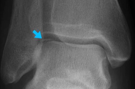
Talar Dome Fracture

The Talus bone is the highest bone in your ankle and connects to your leg's Tibia and Fibula bones. The Talus bone is vital when it comes to movement and balance. The sites where the top of the Talus bone connects to the Tibia and Fibula bone are referred to as the Talar Dome. The top of the Talus bone is covered in a rubbery substance called cartilage. This protects the bones from scraping together and causing pain. The cartilage also makes sure your ankle joint moves smoothly. Complications arise when the force of a blow damages the bone under...

Tarsal Tunnel Syndrome

Tarsal Tunnel Syndrome is a painful condition of the foot where the tibial nerve experiences too much pressure inside the tarsal tunnel. The excess pressure is translated by the brain into pain which is felt along the toes, bottom of the foot, and heel. A damaged nerve can also lead to loss of sensation in the toes and foot. WHAT CAUSES TARSAL TUNNEL SYNDROME? Tarsal Tunnel Syndrome is caused by trauma or too much pressure to the tibial nerve which is located in the foot’s tarsal tunnel. This can be caused by something as simple as Flatfoot, an Ankle Sprain, or Ankle...