Sesamoiditis Fracture
There are two round bones located directly beneath the big to joint in the ball of the foot. These bones are located in the muscle of the foot and are not connected to any other bones (similar to a knee-cap that glides in the knee joint). These round bones are responsible for bearing weight and assisting the big toe when you need to balance, run, and jump. A Sesamoiditis Fracture occurs when the joint of the big toe experiences too much weight over time or an injury. Sesamoiditis Fractures can also lead to Turf Toe.
WHAT CAUSES A SESAMOIDITIS FRACTURE?
A Sesamoiditis Fracture is usually caused by an injury such as a blow to the foot or a fall, causing the bones to crack.
HOW DO I KNOW IF I HAVE A SESAMOIDITIS FRACTURE?
WHAT ARE THE SYMPTOMS OF A SESAMOIDITIS FRACTURE?
If you have a Sesamoiditis Fracture you will feel immediate pain and will find it difficult to move or bend your big toes. You may also experience bruising and swelling around the big toe.
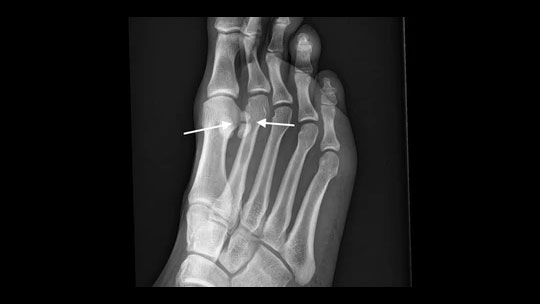
HOW IS A SESAMOIDITIS FRACTURE DIAGNOSED?
In order to diagnose whether or not you have a Sesamoiditis Fracture your doctor or podiatrist will have to perform a physical exam. He or she may also order X-rays in order to ascertain the amount of damage.
WHAT CAN I DO FROM HOME FOR A SESAMOIDITIS FRACTURE?
WHAT CAN I DO TO PREVENT A SESAMOIDITIS FRACTURE?
There are several things you can do to prevent Sesamoiditis Fractures and they are as follows:
- Stop what you are doing if you feel any discomfort in your feet
- Wear shoes that provide plenty of cushioning for your feet
- Ask your podiatrist for foot and ankle strengthening exercises
WHAT TREATMENTS CAN I DO FROM HOME FOR A SESAMOIDITIS FRACTURE?
One of the most important things you can do from home for a Sesamoiditis Fracture is to rest. Keeping weight off your foot will allow your sesamoid bones to heal much quicker.
WHEN SHOULD I SEE A DOCTOR FOR A SESAMOIDITIS FRACTURE?
You should your doctor as soon as you think you have a Sesamoiditis Fracture. Ignoring the problem will only make it worse in the end.
TREATMENTS YOUR DOCTOR MAY RECOMMEND FOR A SESAMOIDITIS FRACTURE
Non-Surgical:
Treatment for a Sesamoiditis Fracture is simple. It requires, rest and immobilization. Your doctor may recommend you wear a walking boot or a cast until your bones heal and then limited activity until fully healed. You may also want to take anti-inflammatory medication to help with any residual pain and swelling.
